整形外科領域の急性外傷X線撮影においてはその患者さんの病態に合わせた撮影法が重要との認識が少しずつ出始めてきた。これに相応するように疾患別撮影法撮影技術も考えられてきた。診療放射線技師が画像読影し診断能の高いX線写真を描出し提出することは必須であると考える。そこで今回は教科書技術本などに掲載されていない撮影法を「骨折を読影する」ことと共に紹介する。
1・頬骨弓軸位像仰臥位撮影法 2・胸骨正面像立位近接non-grid斜入撮影法 3・肋骨立位座位撮影法4・肘関節斜位像座位立位撮影法
5・橈骨頭頸部斜位像Greenspan撮影法 6・肩部Y字像立位仰臥位撮影法7・腰椎正面像立位P-A撮影法 8・胸腰椎側面像クロステーブル撮影法
9・足関節側面像脛骨密着外内撮影法10・小児腓骨遠位端軸位像ATFLview撮影法 11・踵骨軸位像クロステーブル撮影法 12・座位ラウエンシュタインU撮影法
撮影法の選択では第一に患者さんが楽であること!をまず考える。
@臥位があれば立位も座位もある。AX線入射は前後があれば後前もある。などなど。
撮影法の引き出しを多く持つことで診断治療に役立つ患者さんに有益な画像を作り出すことが出来る。
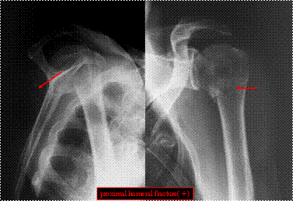
急性外傷時の“肩部Y字像立位仰臥位撮影法”について


X線straight水平入射 座位立位AP撮影法 仰臥位AP撮影法 “肩部Yview画像”基準PA撮影法 
座位で患者さんに優しい撮影法
患者さんの急性外傷現病態を画像化し読影後“接遇に気をつけ”必要とする撮影を続行する
何処に脱臼してますか?

Y view画像なら簡単に理解できます!


診療放射線技師画像読影レポーティング・・・骨折を知ろう・・・



“画像読影レポーティングすることで撮影技術がアップする!“




